Show newer

RT @OpenlyClassist
George is still struggling to hide his neocon tendencies.

Let me repeat again:
The crimes on all sides are wrong but you can't simp for wars either covertly or overtly and still be considered an environmentalist. twitter.com/GeorgeMonbiot/stat

RT @kennardmatt
Our close ally Saudi Arabia has been at war w/ Yemen for 7 years—causing world’s worst humanitarian crisis, where millions of children face starvation.

Not 1 column in UK press has called for Britain to sanction Saudi dictators + their courtiers for their crimes against humanity

RT @Jasonvj2005
4.700 Eiswürfel mit einer Kantenlänge von je einem Kilometer - wir haben Grönlands Eisverlust der letzten 20 Jahre unterschätzt. Dieser Fehler könnte sich aufaddieren und die IPCC-Prognosen zum Meeresspiegelanstieg zu optimistisch machen. wochenendrebell.de/pegelanstie

RT @KinderdocNina
Eine 3-Jährige (ehem Extrem-Frühchen) hatte vor 3 Wo Covid, Omikron. Fieber, Husten, nach 8d PCR neg. Gestern erneut hohes Fieber, Husten, schlechter AZ. Heute: PCR mit ct 14. Labor kann Bitte nach Sequenzierung nicht erfüllen. Überlastet.

RT @ALMevTeam
Die rückläufigen PCR-Testzahlen zeigen, dass nicht mehr alle an erkrankten Menschen mit einem PCR-Test diagnostiziert werden. Wir sind besorgt, dass aufgrund der Diskussion zur Priorisierung in den Laboren zu viele erkrankte Menschen nicht mehr mit PCR getestet werden.

RT @ALMevTeam
-Testzahlen der KW07:

👉🏼 2.048.365 durchgeführte PCR-Tests (KW06: 2.366.691)
👉🏼 Davon waren 950.323 positiv (KW06: 1.054.238)
👉🏼Positivrate lag bei 46,4% (KW06: 44,5%)

RT @clauci2nd
die hälfte der spitäler wurde zerbombt.
das land steht unter .
als waffe.
kinder als kollateralschäden.

die -regierung unterstützt das.

RT @BMWK
Bundesregierung stoppt vorerst Genehmigungsverfahren für nach dem Bruch des Völkerrechts durch bezüglich der -Gebiete in der .

RT @NikGerassimow
Update .
Im Überblick:
- erkennt die "Donbass-Republiken" an,
- erste russ. Einheiten in der LDVR stationiert,
- ein Szenario für den macht besonders Sorgen,
- USA verlegen ihre ukr. Botschaft nach Polen,
- MSM bestätigen Evakuierung.
Thread 👇
(1/21)

RT @unzicker_a
erkennt die Republiken an. Ich will ja nichts sagen, aber das war vor 3 Wochen hier heise.de/tp/features/Next-Leve zu lesen. Ich denke, ich hab gute Chancen, wenn ich mich als -Analyst bewerbe :-)

RT @I_Katchanovski
Another big question now is whether military forces that are deployed by Putin to separatist-controlled would fire or come under fire from forces. This can lead to armed Ukraine-Russia conflict in & other parts of Ukraine

RT @Gab_H_R
Denmark - Covid Deaths

Set records. Break records. Shatter records.

RT @wallacemick
Only a full scale War between and would satisfy - The people of Europe must campaign for the abolition of NATO - It has nothing good to offer anyone that prefers Peace to War.. twitter.com/MarkAmesExiled/sta

RT @ASBMilitary
BREAKING: PUTIN ANNOUNCES RUSSIA RECOGNIZES THE INDEPENDENCE OF LPR AND DPR --
(*Meaning Russia no longer recognizes LPR and DPR as Ukrainian territory, paving way for possible military assistance or peacekeeping; and/or protection of its 700k citizens living there. - *ASB)

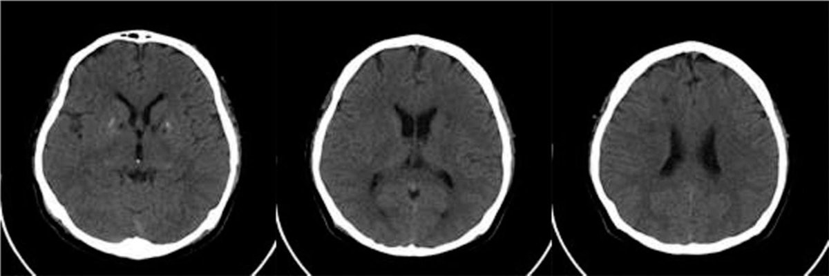
RT @Gab_H_R
Ischemic Stroke following COVID-19 in a patient *without* comorbidities 🧵

Age: 40

How it started: Lack of concentration, brain fog and forgetfulness

How it's going: Memory deficit: he *does not recognize family members*

What's happening? 👇🏻

1/5
-

hindawi.com/journals/crim/2021

RT @LarsWienand
Wir veröffentlichen einen Text zum weiteren Weg, den die von Bodo Schiffmann gesammelten 700.000 € Spenden von Querdenkern für Flutopfer nehmen sollen.
Wer sich vorbereiten will, wirft mal "Teslaplatten" und "Midline-Spray" in die Suchmaschine. twitter.com/FlugschuleE/status

RT @FlugschuleE
(1/x) Kommen wir zum Hauptakteur des Tages, Bodo Schiffmann 😁 😁 hier war ein Bericht von Mannheim24
mannheim24.de/region/bodo-schi aber dieser Bericht gibt nicht mehr wieder, als bereits aus Schiffmanns eigenen Angaben zu erfahren ist. Aber es gibt viel mehr inzwischen....

RT @ASBMilitary
Putin to address the Russian nation shortly

Show older
Qoto Mastodon

QOTO: Question Others to Teach Ourselves
An inclusive, Academic Freedom, instance
All cultures welcome.
Hate speech and harassment strictly forbidden.