Show newer

RT @Beaute_du_Noir_
Wahnsinn! Was ist hier mit einigen gerade los? Ihr sprecht gegen die eigenen Leute aus, weil euch manche Follower von denen nicht passen, bleibt aber den „Beweis“ für deren „Vergehen“ schuldig!

So geht man nicht mit anderen auf Augenhöhe um.

RT @3lite
"Der Anfangsverdacht lautet: Bestechlichkeit. Der Bundestagsabgeordnete Fischer soll von dem repressiven Regime in Aserbaidschan dafür bezahlt worden sein, die deutsche und die europäische Politik in dessen Sinne zu beeinflussen."

sueddeutsche.de/politik/cdu-as

RT @DiePARTEISaar
Wir brauchen eure Einschätzung: Wie oft müssen wir dieses Bild diesen Monat noch ausgraben?

RT @HerrNaumann
Erst mal sacken lassen:
- Armin Laschet und van Laack
- Jens Spahn und die Immobilie
- Georg Nüßlein und der Maskenhersteller
- Axel Fischer und das Regime von Aserbaidschan
- Nikolas Löbel und die Vermittlung von Masken

Das war alles in den letzten Wochen!

RT @chattiewoman
Wer in die Corona-Politik kritisiert, dem droht kalter Gegenwind. Das musste auch der Ire Keith Begg @KeithMEWAS erfahren. Um sich zu schützen, hat er das Land verlassen.
blick.ch/ausland/aktivist-keit (1/10)

RT @Engel_Re
Hat die Union ein Korruptionsproblem? You tell me!

Thread, der einem wirklich die Schuhe (und Masken) auszieht.

Das Schweigen von @Markus_Soeder , @ArminLaschet, @MarkusBlume und @PaulZiemiak zu diesen schwerwiegenden Vorwürfen wird jeden Tag lauter.

RT @Volksverpetzer
Die rechtsextreme Gesinnung der ist längst bekannt, aber dennoch ist es ein gut, wenn sie vom überwacht wird. Die vergangenen der Behörde und dessen Intransparenz lassen jedoch auch Skepsis aufkommen. Text von @athmrva. volksverpetzer.de/hintergrund/

RT @Volksverpetzer
Was ist eigentlich los mit diesen Verschwörungsideologen, dass sie sich darüber aufregen, "Pandemie-Leugner" genannt zu werden, nur um direkt danach die Pandemie zu leugnen?

RT @DocSeltsam
WTF?!?
Artur Helios hat eine Liste und sollte das System kippen, werden diese Leute eliminiert ... 🤮

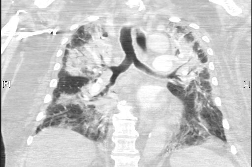
RT @Doc_B_LE
ist auch auf unserer Intensivstation angekommen.

Schwerst hypoxämischer Patient (71). Lactat normal, pH 7,1 bei BE -13.
CoronaPCR hoch positiv (ct 16).

Wir sehen wieder eine Zunahme schwerer -Pneumonien. Die aktuellen Lockerungen sind eine sehr dumme Entscheidung!

RT @DrEricDing
HIGHEST IN KIDS—newest French data this week shows is the most dominant & has the highest prevalence in kids ages 0-9. This matches data from 🇬🇧 (where B117 nearly completely dominant) showing highest incidence in kids. This also matches kids surge in 🇮🇹 & 🇮🇱. 🧵

RT @CorneliusRoemer
Wollen wir dann vielleicht nicht doch noch etwas Sputnik bestellen oder hoffen wir weiterhin auf Curevac Ende 2021? @BMG_Bund @jensspahn twitter.com/EMA_News/status/13

RT @Florian83616025
AT hat 3 Wochen vor DE erste Lockerungen vorgenommen, bei höheren Inzidenzen.

Heute Opener der News:
"Zahl der Patienten in Spitälern und Intensivstationen wieder stark gestiegen [...] Wenn keine Entspannung gelingt, drohe eine dramatische Situation"

twitter.com/ZIB100/status/1367

Show older
Qoto Mastodon

QOTO: Question Others to Teach Ourselves
An inclusive, Academic Freedom, instance
All cultures welcome.
Hate speech and harassment strictly forbidden.